Mosolyterápia: Fogmegtartási trendek 2026-ra


Sok ember álmodik rendezett fogsorról, de a fém drótok és foghúzás rémálma visszatartja őket. 2026-ra a foghúzás nélküli rendszerek, mind fiataloknak, mind felnőtteknek a Damon® és az Invisalign® technológia váltak trendivé.
A Damon® önligírozó bracketek lágy biológiai erőkkel tágítják a fogívet, foghúzások nélkül: lágyabb erő, ritkább kontroll (4-8 hetente), gyorsabb eredmény. Felnőtteknek ideális a Damon Clear® áttetsző változat, ami esztétikus és fájdalomminimalizált. Mindkettőnél 3D tervezés mutatja előre a folyamatot, így motivált maradsz, anélkül hogy szakítanád a szakmai vagy társas életedet.
Az Invisalign® átlátszó, kivehető sínek sorozata 2 hetente cserélve mozgatja a fogakat diszkréten: étkezésnél levehető – 6-18 hónap alatt korrigál enyhe torlódásokat, réseket, harapási hibákat 20-22 órás napi viseléssel.

Ez a foghúzás nélküli módszer különösen népszerű a 30-50 évesek körében: enyhe torlódásokat, réseket, harapási hibákat korrigál 6-18 hónap alatt, 20-22 órás napi viseléssel. A digitális 3D tervezés előre mutatja a folyamatot, így motivált maradsz. Előnye: nem szakítja meg a szakmai vagy társas életedet, és megőrzi a természetes fogakat további beavatkozás nélkül.
A TriDent Budapestnél részletesen bemutatják ezt a korszerű lehetőséget: foghúzás nélküli fogszabályozás és Invisalign felnőtteknek – ideális, ha Újpesten vagy Észak-Budapest környékén keresel hatékony megoldást.
Ha egy gyökérkezelt fog újra fáj, a pánik azonnali: kihúzás? 2026-ban ez a múlt. A 25x nagyítású endodoncia mikroszkóppal végzett kezelése 90% feletti sikerességet hoz, ahol szabad szemmel láthatatlan csatornák tisztíthatók tökéletesen. Két fogászati mikroszkóppal, specialista endodontusok dolgoznak: 3D CBCT segítségével pontosan navigálva a kezelést.
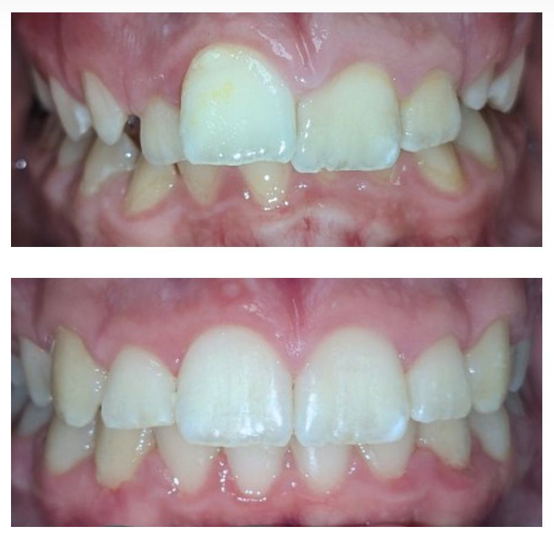
Ez a módszer a fogmegtartás csúcsa: korai stádiumban 95%-ban elkerülhető a húzás, ami később implantátumot spórol meg. Fájdalommentes, egyszeri beavatkozás – előtte-utána szájkamerás fotókkal mutatják az eredményt. Páciensek gyakran számolnak be arról, hogy évekig tünetmentesek utána, ellentétben a hagyományos kezelésekkel.

A mikroszkópos gyökérkezelésről bővebben a TriDent oldalon: 25x nagyítású endodoncia – precizitás, ami számít.
Ezekben a kezelésekben közös: páciensközpontúak, digitálisak, minimál invazívak. Az Invisalignnal rendezett fogsor csökkenti a fogkő-lerakódást, a mikroszkóppal kezelt fogak tovább megtarthatóak. Együttesen fiatalosabb, funkcionális mosolyt adnak – állásinterjún, randin, családi ebédnél egyaránt.
A mosolyterápia lényege: ne csak szép legyen, hanem egészséges és tartós. 2026-ban ez reálisabb, mint valaha – érdemes kipróbálni!
(x)
Portfóliónk minőségi tartalmat jelent minden olvasó számára. Egyedülálló elérést, országos lefedettséget és változatos megjelenési lehetőséget biztosít. Folyamatosan keressük az új irányokat és fejlődési lehetőségeket. Ez jövőnk záloga.